상인램브란트치과

One-day Crown Treatment

원데이 크라운치료

치료 받을 시간이 없다구요?

하루면 충분합니다.

원데이 크라운치료

더이상 치료를 늦춰서는 안됩니다.

인레이로 치료하기엔 충치의 크기가 클 경우 진행하는 크라운 치료,
충치가 더 심해지면 최악의 경우 발치까지 진행될 수 있기 때문에
빠르고 제대로 된 치료를 받아야 합니다.


원데이 크라운치료 일까요?

일반적으로 보철물을 제작하는 데 보통 1주일이 소요되지만
저희는 컴퓨터로 치아 본을 뜨고 제작하기에 기존 석고 모형 작업이 필요하지 않습니다.
제작에서 부탁까지 과정이 간편해 편안한 치료가 가능하여 만족도가 높은 시술입니다.

충치치료 후 보철이 완료되는 시간까지 기다릴 경우 치아 표면이 오염되어
크라운의 접착면이 약해질 수 있습니다. 램브란트 원데이 크라운은 기다림 없이
즉시 접착하기 때문에 강력한 접착력을 자랑하며 보다 긴 수명을 얻을 수 있습니다.

  • 일정이 바쁜 직장인 혹은 학생

  • 충치 치료가 시급하신 분

  • 타 지역 혹은 해외에 거주하시는 분



한 번의 내원으로
진료를 마칠 수 있습니다.
램브란트치과 상인점은 다양한 디지털 장비를 보유하고 있어
빠른 손상 부위의 회복이 가능합니다.
  • 충치 확인

  • 충치 치료

  • 구강 스캔

  • 당일제작 · 당일부착

여러 개의 치료를 원하신다면
오전 9 : 30 or 오후 1 : 30 내원을 권유드립니다.

상담을 제외하고 검진과 치료까지 치아당 30분 이상의 시간이 소요될 수 있으니
충분한 여유를 가지고 내원해주시길 바랍니다.



원데이 디지털 치아치료

원데이 크라운치료 장점

속도와 편안함을 모두 잡은
원데이 크라운치료
  • POINT 01
    하루 만에 보철 완성

    램브란트치과 상인점에서는 컴퓨터 시스템을
    이용
    하기 때문에 하루 만에 충치 치료부터
    보철까지 완성할 수 있습니다.

  • POINT 02
    임시 치아 제작 NO!

    당일 보철을 제작하여 치료하기 때문에
    임시 치아가 필요하지 않습니다.

  • POINT 03
    우수한 심미성

    치아 색상과 유사한 재료를 사용하기 때문에
    심미적으로도 우수한 편입니다.



원데이 디지털 치아치료

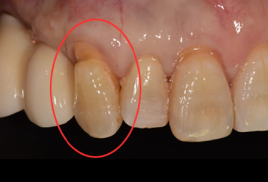
원데이 크라운치료 Before & After

원데이 크라운치료 치료사례

40대 남성원데이 크라운 치료 2024. 06. 12~2024. 06. 12

  • 램브란트 상인점에서 실제 진료를 진행한 환자로 전, 후 사진 동일한 조건으로 동일인이 촬영하였습니다.

    치료사례들은 환자의 이해를 돕기 위한 안내로 환자분들마다 다른 결과가 나타날 수 있으니
    반드시 내원하여 정확한 상담 후 치료를 받으시길 바랍니다.

  • 더 많은 사례
    확인하기