성공률을 높이기 위한
임플란트 기초공사
뼈이식 임플란트
잇몸뼈가 약한 곳에 임플란트를 식립할 경우
치아가 흔들리고 무너질 수 있기 때문에 임플란트를
지지할 수 있도록 잇몸뼈가 부족하다면 뼈를 보강해야 합니다.
뼈이식 임플란트란?
뼈이식이라고
다 같은 뼈이식은 아닙니다.
타 치과의 뼈 이식 후 골조직
램브란트치과 상인점 뼈이식 후 골조직
풍부한 임상 경험
풍부한 임상경험이 수술 결과를 좌우합니다.케이스별 면밀한 검사
치아 위치, 형태, 얼굴 모양 등 환자케이스에 따라 치료를 진행합니다.첨단 의료장비 활용
수술 결과의 퀄리티를 높이는 첨단장비로 엄격한 치료를 진행합니다.뼈이식 임플란트 케이스
상악동 공간이 내려앉은 경우
윗턱뼈의 두께가 얇은 경우
아래턱뼈의 두께가 얇은 경우
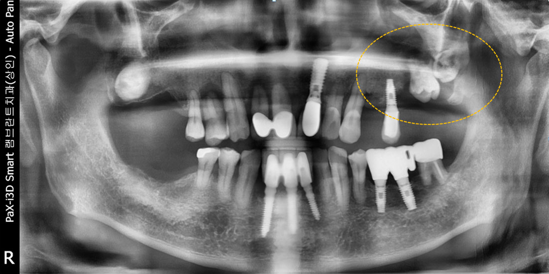
윗턱뼈에 사랑니가 매복된 경우
신경관과의 거리가 부족한 경우
뼈이식 임플란트 기간
| 분류 | 골화기간 | 소요기간 |
|---|---|---|
| 뼈의 폭은 좋으나 함몰 부위 | 3개월 | 3~6개월 |
| 뼈의 길이는 좋으나 폭이 부족 | 3~6개월 | 3~12개월 |
| 뼈의 소실량이 많은 경우 | 6~12개월 | 6~12개월 |
| 윗턱뼈 공기주머니가 큰 경우 | 6~9개월 | 6~12개월 |
뼈이식 임플란트 치료 예시
뼈의 폭은 좋으나 함몰 부위



함몰 부위에 국소적으로 적용하는 간단한 방법의 뼈이식 임플란트



잇몸뼈가 찰 때까지 기다릴 필요 없이 즉시 식립과 동시에 뼈이식
뼈의 길이는 좋으나 폭이 부족



임플란트 식립과 동시에 뼈이식을 하는 경우



폭이 많이 부족하여 뼈이식을 먼저 한 후, 임플란트 식립을 하는 경우
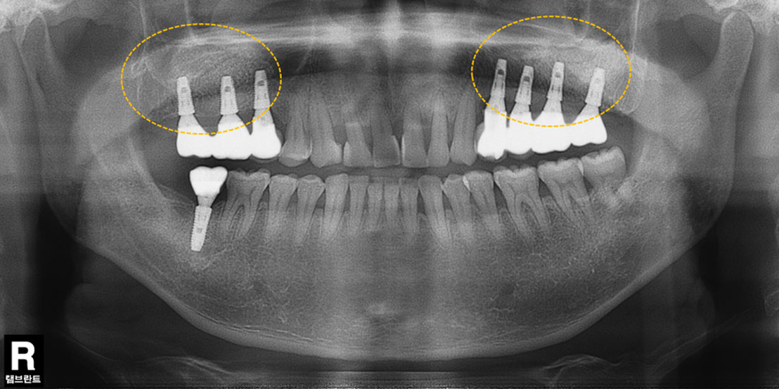
뼈의 소실량이 많은 경우
매복된 제2 대구치
매복된 사랑니
견고한 금속 차폐막 적용 
치료 전
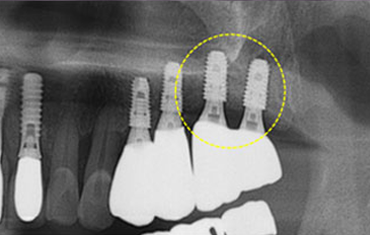
치료 후윗턱뼈 공기주머니에 뼈이식
치료 전
치료 후
뼈이식 임플란트 Before & After
램브란트 상인점에서 실제 진료를 진행한 환자로 전, 후 사진 동일한 조건으로 동일인이 촬영하였습니다.
치료사례들은 환자의 이해를 돕기 위한 안내로 환자분들마다 다른 결과가 나타날 수 있으니
반드시 내원하여 정확한 상담 후 치료를 받으시길 바랍니다.
더 많은 사례
확인하기